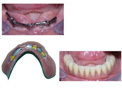
Inserimento di 4 impianti a connessione interna. Dopo quattro mesi necessari per l'osteointegrazione vengono inseriti i transfert per la presa dell'impronta

Connessione degli impianti tra di loro con barra fresata e controbarra con slot di ritenzione nella protesi removibile precedentemente ribasata per un adeguato appoggio mucoso. La protesi acquisisce così una stabilità tale da garantire un confort paragonabile a quello della dentatura fissa, ma con il vantaggio di manovre più semplici nel mantenimento dell'igiene.
