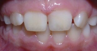
Restauri diretti sui denti anteriori fratturati in seguito a trauma



Ricostruzione diretta in composito
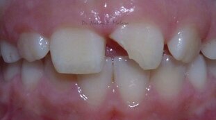
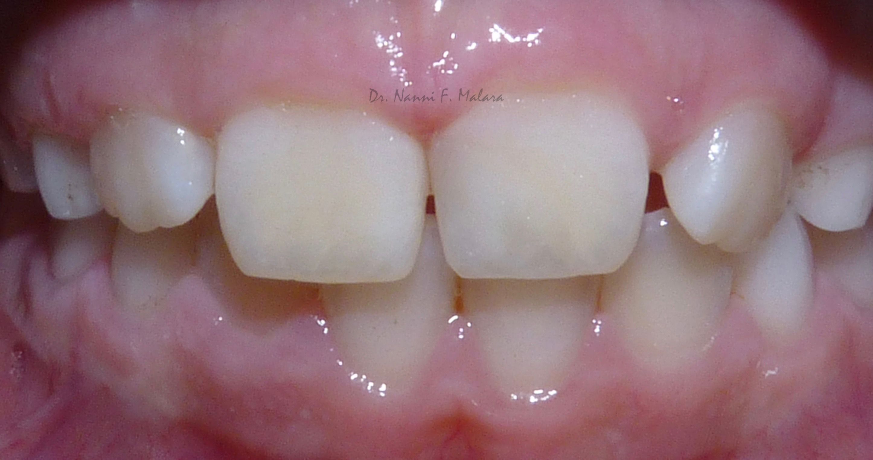
Incisivo centrale fratturato in seguito a trauma
Isolamento del campo operatorio
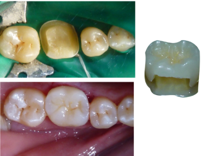
Restauri diretti in composito su settori posteriori



Rimozione tessuto cariato e amalgama infiltrata
Ricostruzione diretta in composito
Ritrattamento di vecchia ricostruzione in amalgama occluso distale su secondo premolare e carie mesio occlusale su primo molare


Seguici su Facebook ed Instagram per vedere sempre nuovi casi