


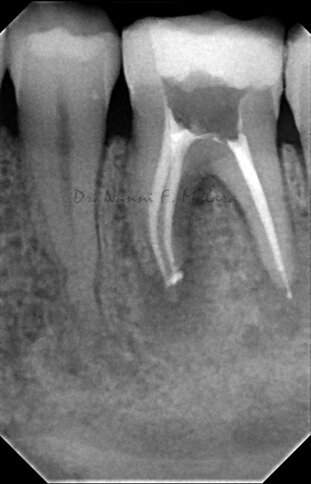
Molare affetto da lesione periapicale a carico di entrambe le radici (Alla radiografia si presentano come aree scure intorno alle radici)
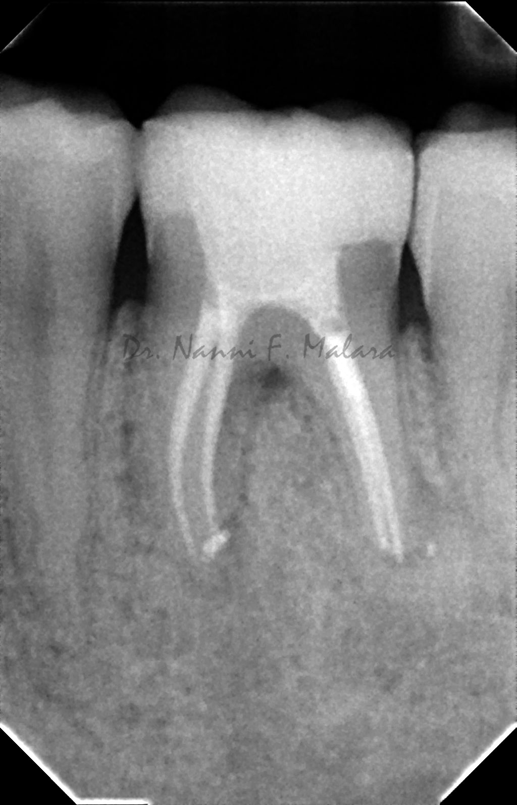
Terapia endodontica con sigillo tridimensionale dei canali radicolari
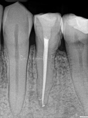
Controllo della guarigione a 7 mesi dalla terapia endodontica (Alla radiografia si nota come le lesioni ossee siano guarite, e la densità della trabecolatura ossea sia tornata alla normalità)



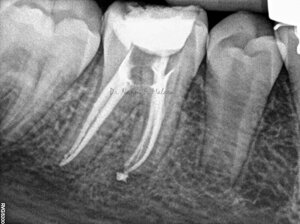
Premolare affetto da lesione periapicale (Alla radiografia si presenta come area scura intorno alla radice)
Terapia endodontica con sigillo tridimensionale del sistema canalare
Il controllo radiografico eseguito ad 8 mesi evidenzia l'avvenuta guarigione con il riassorbimento completo della lesione apicale.