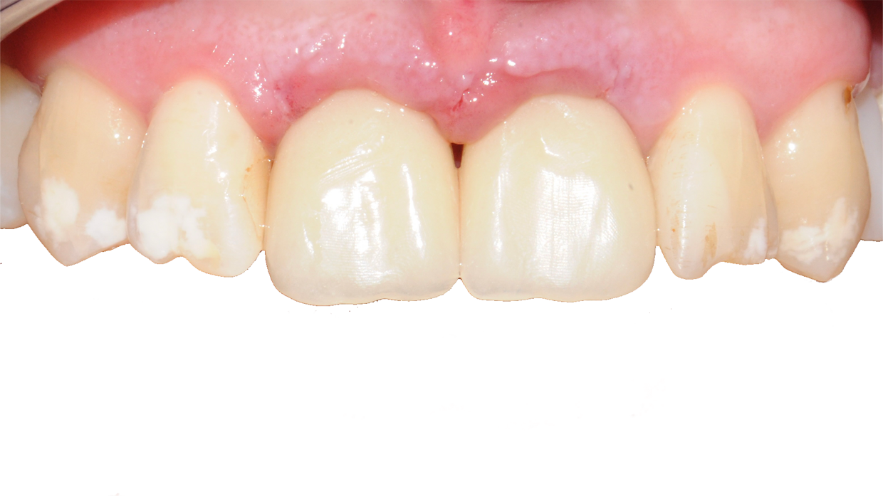
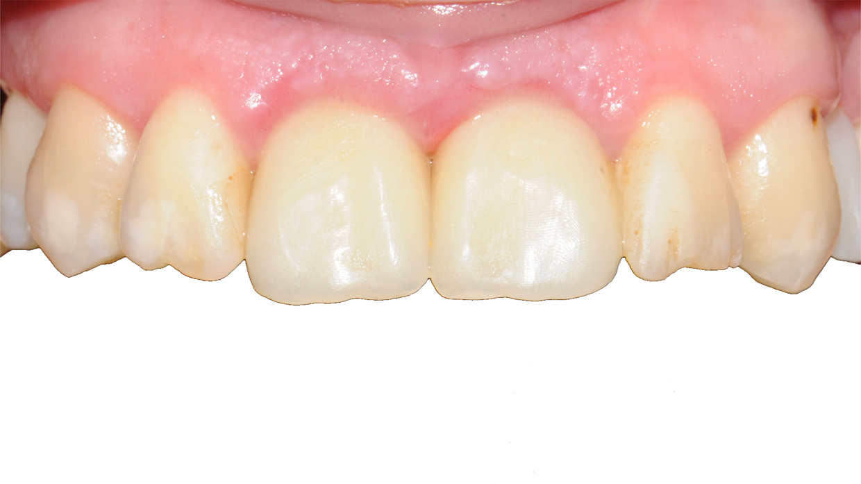
Casi clinici di impianti dentali





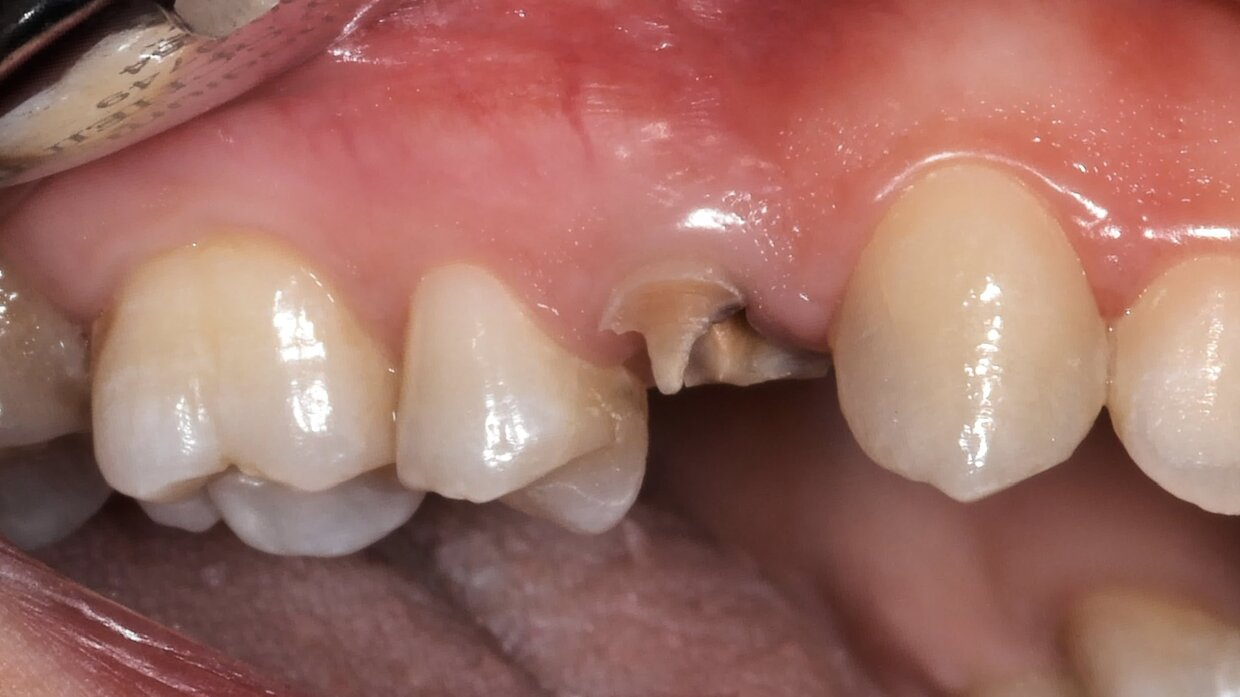
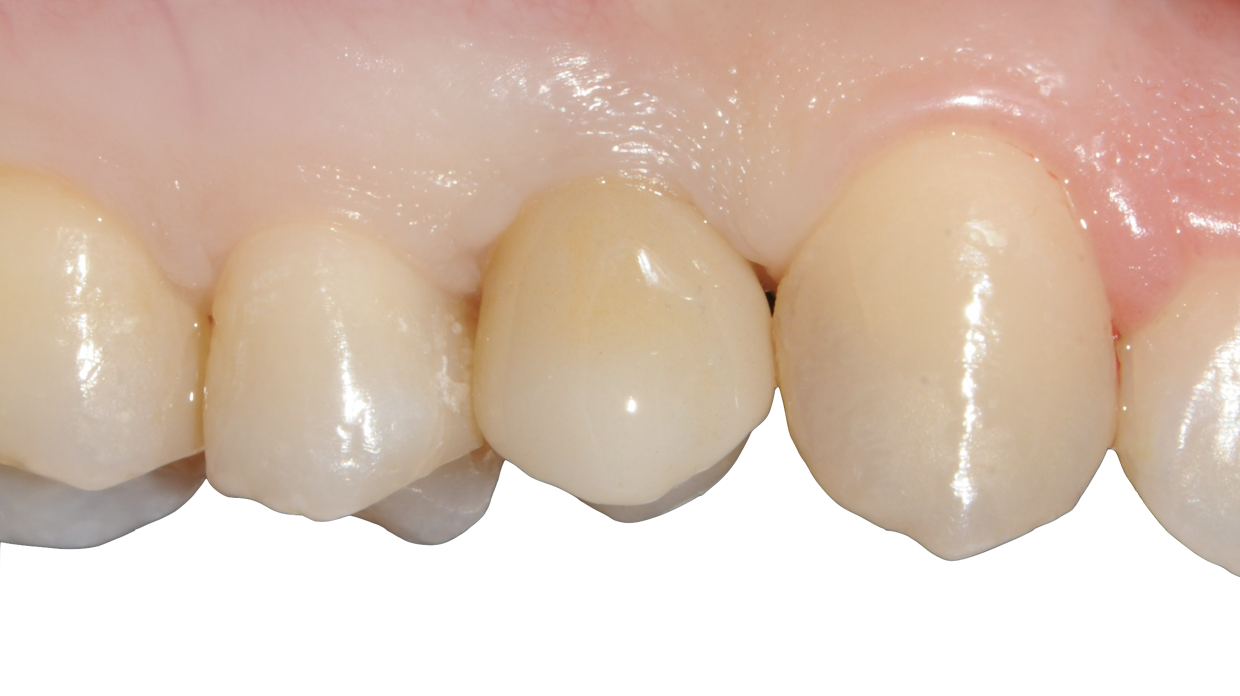
Impianto con tecnica Flapless
Minimamente invasivo, senza lembo chirurgico nè punti di sutura







Il posizionamento degli impianti è stato pianificato prima dell'intervento su un software dedicato. In un'unica seduta, dopo l'estrazione degli elementi dentari compromessi, sono stati immediatamente inseriti gli impianti nella posizione pianificata, grazie alla realizzazione della dima chirurgica. Per ridurre il riassorbimento osseo a lungo termine e garantire quindi una maggiore resa estetica (vista la zona d'intervento), la chirurgia è stata eseguita con una particolare tecnica denominata: Socket Shield Technique.









Scopri quali sono i passaggi per la pianificazione digitale degli impianti