Dr. Nanni Malara
casi clinici di implantologia computer assistita

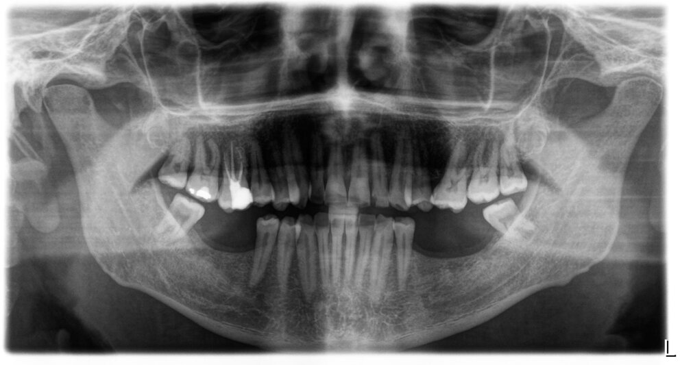
1. Riabilitazione implanto/protesica di zona edentula in arcata inferiore

OPT pre operatoriaProgettazione computer guidataOPT post operatpria in seguito all'inserimento degli impianti

2. Intervento di inserimento di impianto con tecnologia computer assistita 

3. mascherina chirurgica: dalla fase di progettazione diagnostica alla fase chirurgica

e64a0378-0377-45cc-ac45-582d6f0dbac6

Sito d'intervento : edentulia primo molare inf dx (4.6)

d6ce2bde-6eeb-4bbe-81a4-3640b0e0707c

Progettazione con software dedicato

68ec618c-a7a1-4632-a361-7708eba2b54d

Realizzazione e posizionamento dima chirurgica

f536dd77-c085-4be1-b69f-1f295dd6b08a
3e6d0f44-1741-447a-bba1-df2705f781d1

Radiografia post operatoria: impianto inserito come da simulazione iniziale

Inserimento impianto