Il morso crociato o "Cross bite" è una malocclusione in cui i denti dell'arcata superiore occludono all'interno dei denti dell'arcata inferiore. Può colpire un singolo dente o più gruppi di denti e può essere monolaterale o bilaterale.
Questa malocclusione spesso si associa a deviazioni della mandibola ed è dovuto a conformazioni scheletriche che necessitano di essere corrette in età precoce.
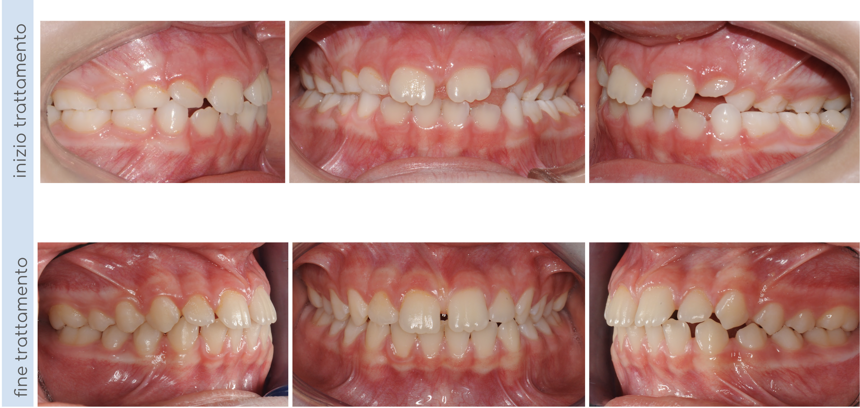
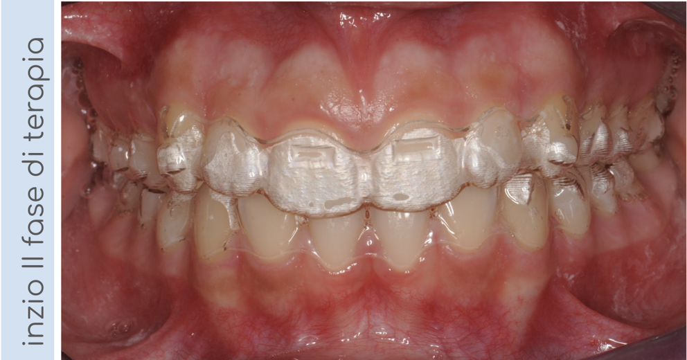
In questo caso, il paziente presentava un morso crociato posteriore a sinistra, intercettato precocemente e corretto in dentatura mista. Al termine della terapia intercettiva, una volta erotti tutti i denti permanenti, il nostro piccolo paziente ha iniziato una seconda fase di terapia con allineatori trasparenti per finalizzare il trattamento e allineare correttamente le arcate!



Il morso aperto è una malocclusione dentale caratterizzata dall’assenza di contatto tra i denti anteriori o posteriori delle due arcate quando la bocca è chiusa. Si crea quindi uno spazio visibile tra le arcate. Questo problema può avere diverse cause, tra cui: abitudini viziate (come succhiare il pollice o l’uso prolungato del ciuccio), deglutizione atipica, respirazione orale, fattori genetici o scheletrici.
Perché intervenire precocemente?
Il morso aperto può compromettere la funzione masticatoria, la fonazione, l’estetica del sorriso e il corretto sviluppo delle ossa mascellari. Intervenire in età precoce, permette di correggere le cause alla base del problema attraverso terapie ortodontiche intercettive, evitando complicazioni future e trattamenti più complessi in età adulta.



Il morso profondo o "Deep bite" è una malocclusione in cui i denti anteriori dell'arcata superiore coprono per gran parte o totalmente i denti dell'arcata inferiore. Spesso si accompagna ad un iposviluppo mandibolare; intervenendo in età evolutiva si può risolvere il blocco anteriore dato dalla posizione dei denti e favorire la fisiologica crescita mandibolare

La III classe scheletrica è una malocclusione in cui la mandibola è più prominente del mascellare superiore, o il mascellare superiore è iposviluppato rispetto alla mandibola; questo si accompagna ad un profilo concavo e spesso ad un “morso inverso”.
Un intervento precoce, già in età pediatrica, può guidare la crescita delle ossa mascellari, migliorare la funzionalità e ridurre la necessità di interventi chirurgici in età adulta.


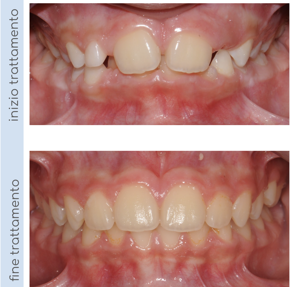
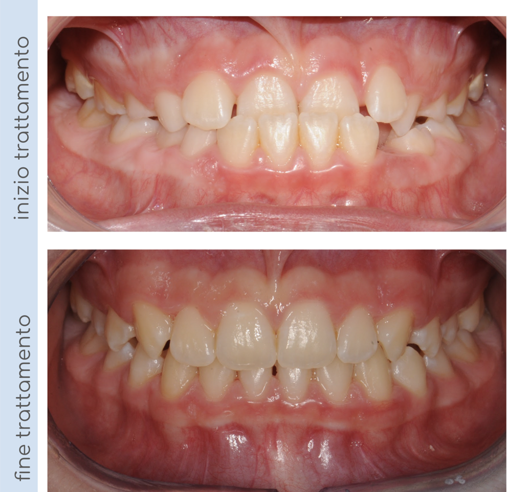
I diastemi sono degli spazi tra i denti, frequentemente si trovano tra gli incisivi superiori. Sebbene possano essere fisiologici in fase di permuta dentale, quando persistono o sono molto accentuati, possono essere legati a fattori come frenulo labiale basso, discrepanze dento-dentali o abitudini viziate scorrette.
Una valutazione ortodontica precoce permette di individuare la causa e, se necessario, intervenire con trattamenti semplici e mirati.


Prima e dopo trattamenti ortodontici eseguiti con tecnica fissa multibrackets tradizionale e trasparente in ceramica
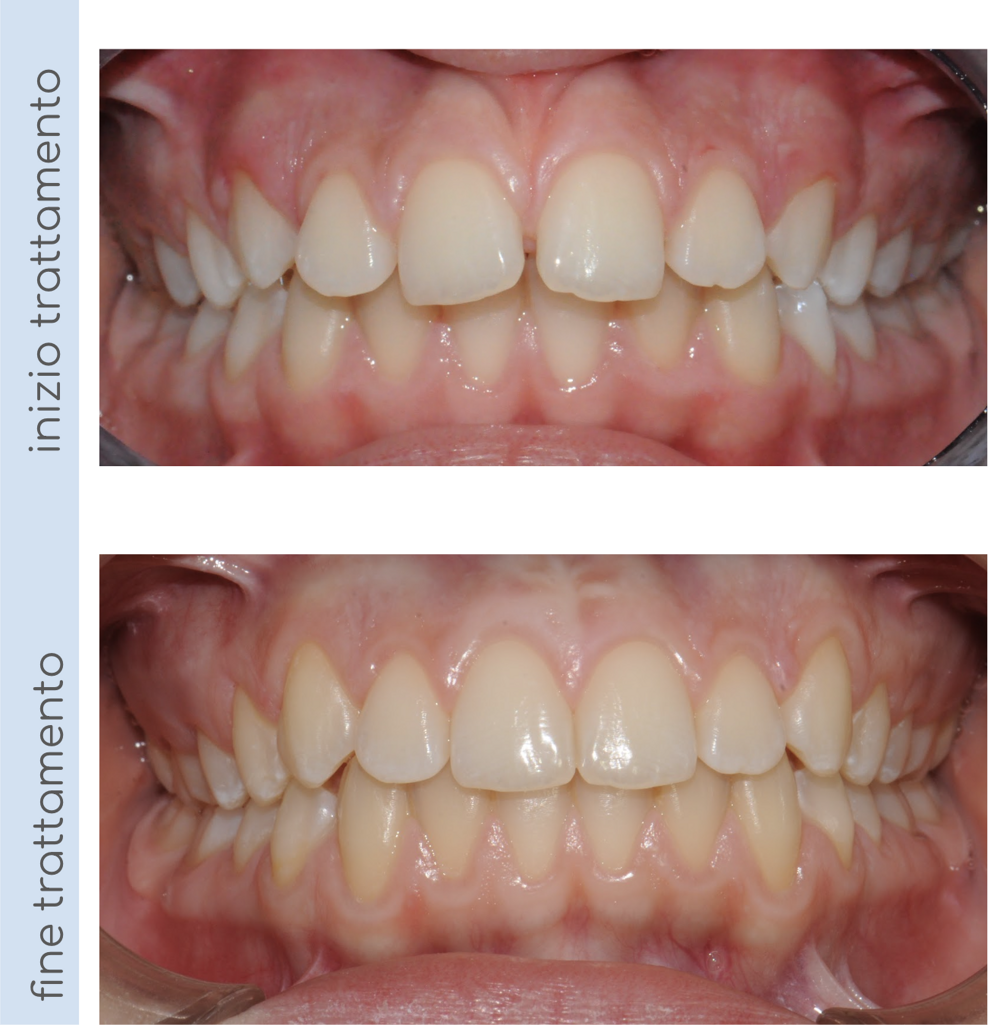
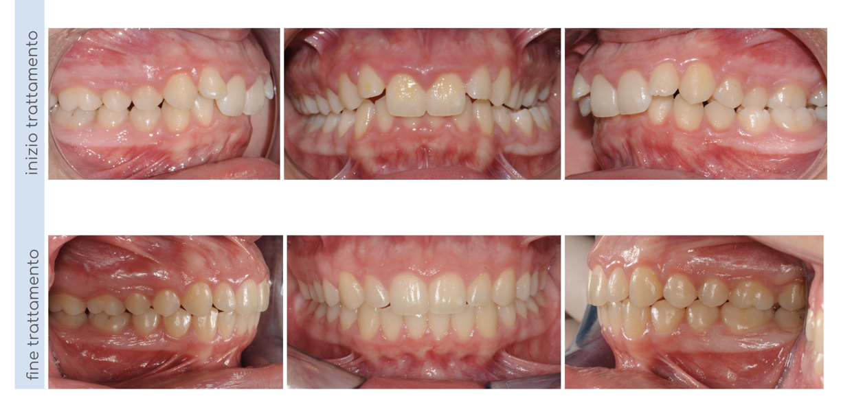
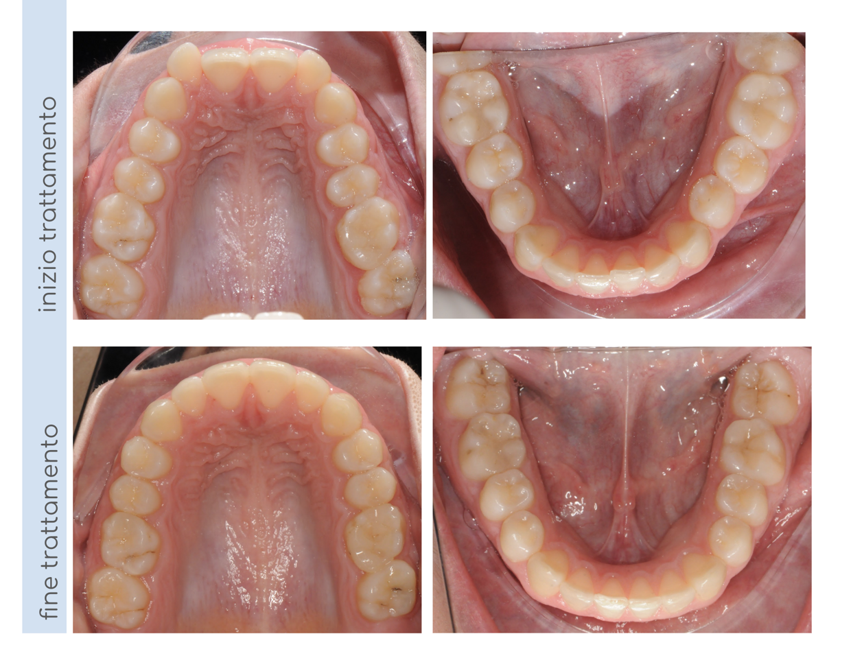
La paziente presentava una Il classe Il divisione con morso profondo, morso crociato posteriore a sinistra e deviazione delle linee mediane dentali. E stata trattata con apparecchio fisso ad entrambe le arcate per 18 mesi; al termine del trattamento abbiamo ottenuto una l classe bilaterale, l'apertura del morso, la correzione del morso crociato posteriore e un allineamento delle linee mediane dentali.




Casi clinici ortodonzia con allineatori