Casi clinici di protesi fissa
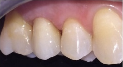
Protezione di molare devitalizzato, con corona in zirconio metal free realizzata con flusso digitale
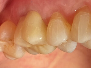
Premolare devitalizzato, ricostruito su perno e protetto con corona in ceramica


Incisivo centrale inferiore fratturato in seguito a trauma occlusale, incapsulato con corona in ceramica integrale

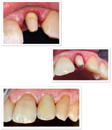
Incisivo laterale superiore sinistro fratturato in seguito a trauma, ricostruito con perno ed incapsulato con corona in ceramica integrale
