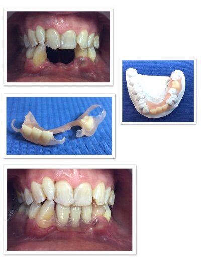
Paziente donna di anni 42, affetta da edentulia parziale inferiore risolta con una protesi rimovibile di compromesso dettato da condizioni patologiche generali

Paziente donna di anni 54, con edentulia parziale superiore ed inferiore risolto con due protesi rimovibili
