

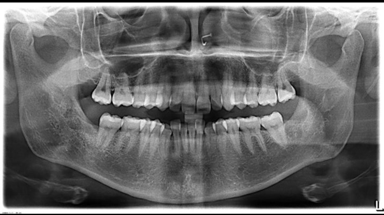
Ortopantomografia eseguita dopo l'estrazione dei quattro denti del giudizio
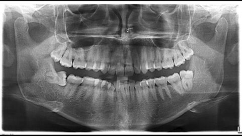
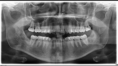
L'ortopantomografia evidenzia gli ottavi superiori in normoestrusione, mentre gli ottavi inferiori appaiono inclusi in mesioversione quello di destra e in distoversione quello di sinistra


Rimozione calcolo salivare sub linguale eseguito con tecnica minimamente invasiva tramite laser