
"La Chirurgia orale, è la specializzazione medica che si occupa di tutte quelle problematiche odontoiatriche per cui si rende necessario un intervento di tipo chirurgico, e include anche l'Implantologia e la Parodontologia"
Tutte le procedure chirurgiche vengono eseguite in studio in una sala dedicata ed attrezzata di moderne apparecchiature











Estrazione di elementi dentari che (ad esempio per via di processi cariosi molto avanzati o fratture verticali profonde) non possono essere trattati
Estrazione di elementi dentari (per esempio i denti "del giudizio") che si trovano in inclusione parziale o totale nell'osso

Il seno mascellare è una cavità piena d'aria che si trova nell’osso mascellare e fa parte dei seni para nasali; è rivestito da una mucosa detta membrana di Schneider
La procedura chirurgica detta ''rialzo del seno mascellare" ha come scopo l'aumento del volume di osso nella zona edentula come procedura preliminare all'inserimento di impianti e quindi alla riabilitazione protesica.
Due sono le tecniche di rialzo del seno che vengono utilizzate a seconda delle necessità cliniche:
- Approccio laterale: tramite
apertura di una finestra ossea detta ''botola''
- Approccio trans-crestale: attraverso la cresta ossea residua

La rigenerazione ossea guidata (GBR) è una tecnica chirurgica che tramite l’utilizzo di membrane e materiali di riempimento, ha come scopo quello di ricreare un’adeguata rigenerazione del tessuto osseo mancante per ottimizzare l'inserimento di impianti, la loro osteointegrazione e, di conseguenza, la finalizzazione protesica.

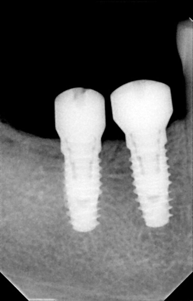
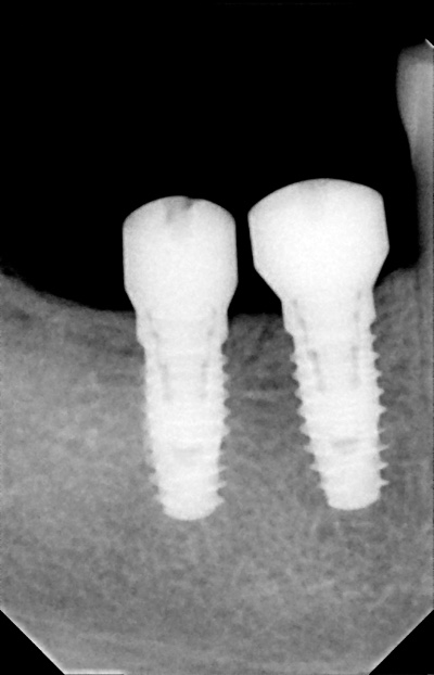
L'implantologia è la branca dell'odontoiatria che mira alla sostituzione di un dente naturale andato perduto mediante l'inserimento di una vite implantare in titanio che ne riproduce la radice senza che vengano coinvolti i denti vicini.

Apicectomia: è un intervento di chirurgia endodontica che si rende necessario quando la terapia endodontica non è sufficiente, da sola, a portare alla guarigione di una lesione periapicale. Consiste nella rimozione dell'apice del dente per rimuovere tutti gli agenti infettivi dai tessuti periapicali
Escissione di cisti dei mascellari
Rimozione di calcoli salivari