
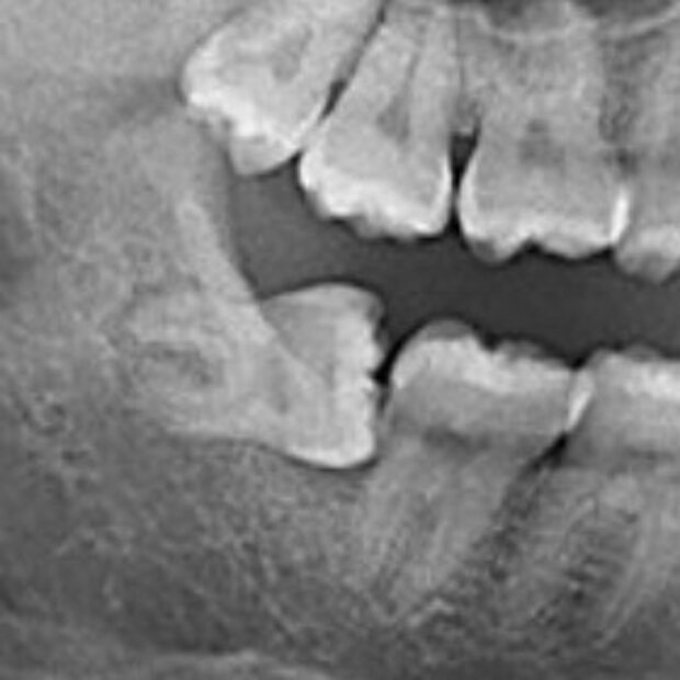
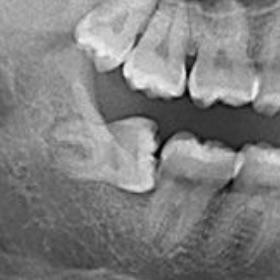
La disodontiasi è un disturbo del fisiologico processo di eruzione degli elementi dentali; si manifesta clinicamente con un tipico quadro infiammatorio. Il dente che più frequentemente va incontro a disodontiasi è il terzo molare e cioè il cosiddetto "dente del giudizio"


I denti del giudizio sono quattro: 2 nell'arcata superiore (uno a destra e uno a sinistra) e 2 nell'arcata inferiore (uno a destra e uno a sinistra); sono gli ultimi dei tre molari presenti nell'arcata dentaria.
Vengono chiamati denti "del giudizio" perché solitamente iniziano e completano la loro eruzione in un periodo tra il 16° e il 25° anno di età, quindi in una fase adulta e di maturazione dell'individuo.

Spesso, per via di una mancanza di spazio o un orientamento scorretto durante la fase eruttiva, il dente del giudizio può andare incontro ad inclusione. L'esame radiologico di base è l'ortopantomografia che viene eseguita direttamente in studio e ci consente di capire nell'immediatezza il grado di inclusione dell'elemento dentario, il suo orientamento e i rapporti che contrae con le strutture anatomiche adiacenti. A seconda del caso, può essere necessario ricorrere ad un esame radiologico tridimensionale per avere informazioni ancora più accurate sulla posizione dell'elemento dentario. La terapia della disodontiasi dei denti del giudizio consiste nell'estrazione chirurgica degli elementi dentari.

