
La conservativa è la branca dell'odontoiatria che si occupa della terapia dei denti affetti da patologia cariosa prima ancora che si sia verificato l'interessamento della polpa dentaria

Le procedure consistono nella rimozione del tessuto cariato e la conseguente ricostruzione della parte di dente andata distrutta, mediante l'utilizzo di materiali completamente atossici e biocompatibili, quali i compositi.
Le terapie conservative vengono effettuate in studio mediante sistemi di ingrandimento e previo isolamento del campo operatorio con diga di gomma; questi fattori garantiscono una maggiore accuratezza durante l'esecuzione delle procedure cliniche.

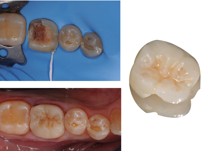
Gli intarsi sono delle ricostruzioni "indirette"; sono cioè eseguite non direttamente in studio ma in laboratorio dall'odontotecnico e successivamente cementati sul dente.

Quando la parte mancante del dente è molto ampia (in seguito a una carie molto destruente) oppure nei casi in cui sia necessario proteggere il dente (in seguito ad una terapia canalare).
L'intarsio infatti protegge il dente da tutti gli stimoli masticatori ed occlusali che si andranno a scaricare su di esso.
La realizzazione di intarsi in studio prevede un flusso di lavoro digitale